Microscopic Characteristics Of Clinker Phases
CEMENT ANALYTICS
Table of contents:
1. Introduction
2. Primary clinker phases
3. Process related interpretations of clinker microstructure (Qualitative)
4. Quantitative assessment of Clinker Phases
5. Conclusion
6. Frequently asked questions
Introduction:
The microscopic characteristics of clinker phases involves a detailed examination of the fine structures and properties of the individual mineral components that constitute clinker, a critical intermediate product in the cement manufacturing process. Clinker is formed through the high-temperature calcination of raw materials such as limestone, clay, and other additives. The resulting material undergoes further grinding to produce the final cement product.
Primary clinker phases:
1. Alite (C3S - Tricalcium Silicate):
Alite is the primary mineral phase in clinker and is responsible for the early strength development of cement. Microscopic analysis allows researchers and manufacturers to understand the formation and arrangement of alite crystals, providing insights into the reactivity and grindability of the clinker.
2. Belite (C2S - Dicalcium Silicate):
Belite is another significant clinker phase that contributes to the strength development of cement, particularly in the later stages. Understanding the microscopic characteristics of belite helps optimize the cement production process by influencing factors such as kiln temperature and raw material composition.
3. Tricalcium Aluminate (C3A):
Tricalcium aluminate is a clinker phase that influences the early hydration of cement and can contribute to the setting time. Controlling the characteristics of C3A is crucial for achieving the desired properties in cement, including setting time and resistance to sulfate attack.
4. Tetracalcium Aluminoferrite (C4AF):
Tetracalcium aluminoferrite is another mineral phase in clinker, contributing to the overall composition of cement. Microscopic examination helps assess the crystal structure and characteristics of C4AF, influencing factors such as the color of the cement and its resistance to sulfate attack.
5. Free Lime (CaO):
Free lime, or calcium oxide (CaO), is an undesirable clinker phase in cement production, as excessive amounts can lead to delayed setting and expansion-related issues. The identification of free lime crystals and their characteristics helps cement manufacturers optimize the kiln conditions and raw material composition to minimize its occurrence. Effective control of free lime is crucial for ensuring the quality and performance of the final cement product.
6. Periclase (MgO):
Periclase, or magnesium oxide (MgO), is another secondary phase that can be present in clinker. Excessive periclase can affect the cement's performance and durability. Microscopic analysis aids in understanding the formation and interrelation of periclase crystals, guiding manufacturers in adjusting raw material proportions and kiln parameters to mitigate the presence of undesirable amounts of MgO in the clinker.
7. Alkali Sulphate:
The alkali sulfate phase in clinker is formed by the combination of alkali elements (typically sodium and potassium) with sulfate compounds. The primary components include alkali sulfates such as sodium sulfate (Na₂SO₄) and potassium sulfate (K₂SO₄). Understanding the microscopic characteristics of the alkali sulfate phase is crucial for cement manufacturers to control potential issues related to alkali-aggregate reactions (AAR) and ensure the long-term durability of concrete structures.














Process related interpretations of clinker microstructure (Qualitative):
Raw Meal Preparation:
Raw meal preparation influences the homogeneity and burnability of the raw meal, which in turn affects the micro-homogeneity of the clinker.
Adequate raw meal preparation includes suitable fineness and a homogeneous distribution of all components.
Typical defects due to inadequate raw meal preparation include free lime or belite clusters resulting from coarse limestone and quartz grains.
The quality of raw mix preparation can be assessed by the distribution of clinker phases, presence of belite and free lime clusters, and micro-homogeneity.




Burning Conditions:
Burning conditions encompass the process conditions that influence the clinker characteristics, such as the temperature profile, maximum temperature, and kiln atmosphere.
The length of the sintering zone determines the formation and growth of the silicate phases, with large alites indicative of a long sintering zone.
Evaluation of the maximum temperature provides hints on the burning conditions, with striation of belite indicating "hard" and "soft" burning.
Reducing conditions affect the setting behavior and strength development of clinker, and can be indicated by various parameters such as alite decomposition and higher aluminate content.


Cooling Conditions:
Cooling conditions are relevant for the alite content, with slow cooling conditions fostering alite decomposition to free lime and belite.
Parameters for evaluating cooling conditions include crystal size, differentiation of aluminate and ferrite, belite rims around alite, and ragged belite.


Influence of Fuels:
Fuel ashes impact the clinker composition and structure, with incomplete burnt fuels causing local reducing conditions and elevated phosphorous contents inhibiting the formation of alite and stabilizing belite.


Quality-Related Interpretation:
Setting Behavior: The setting behavior of cement is influenced by the hydration reactions of aluminate and alite in the presence of soluble sulfate. Increasing free lime contents in the clinker reduce the setting time, while increasing alkali sulfate contents might cause extended setting times.
Strength Development: The strength development of cement is related to the formation and growth of the silicate phases. Alite contributes to the early strength development, while belite contributes to the later strength development of cement.
Soundness: The soundness of cement refers to the ability to retain its volume after it has set. It is influenced by the presence of free lime and periclase, which can cause unsoundness in cement.
Grindability: The grindability of clinker is related to the ease of grinding the clinker to produce cement. It is influenced by the hardness and size of the clinker phases, with alite and belite content affecting the grindability of the clinker.
Quantitative assessment of Clinker Phases:
Quantitative clinker assessment is a method used to determine the properties and characteristics of clinker phases. his involves determining the percentage of different clinker phases, such as alite, belite, aluminate, ferrite, free lime, and periclase, in the clinker sample. This can be done using point counting.
Determination of Alite Size: Alite size is an important parameter in clinker assessment, as it affects the strength and other properties of the final cement product. The alite size can be determined by measuring the average size of alite particles in the clinker sample.
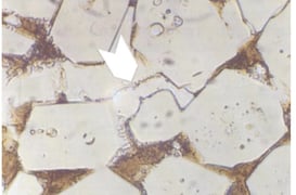
Belite Size: The size of belite crystals can be determined by measuring the maximum extension or length of the belite crystals visible in polished sections. The size of belite crystals is characterized by their mostly rounded shape, often ragged, and sometimes dendritic. Belite often occurs in clusters, and striation (twinning) is often observed. In general, belite is idiomorphic.
Aluminate Size: The size of aluminate crystals can be determined by measuring the maximum extension or length of the aluminate crystals visible in polished sections. Aluminate crystals have a platy (cubic) or lathlike (orthorhombic) shape and are generally pseudomorphic.
Ferrite Size: Ferrite is the brightest phase of the interstitial mass and is generally pseudomorphic. Determining its size is a bit tricky job.
Free Lime Size: The size of free lime particles can be determined by measuring the diameter of small rounded particles visible in polished sections. Free lime particles are sensitive to reaction with moisture and often occur in clusters.
Periclase Size: The size of periclase particles can be determined by measuring the diameter of particles visible in polished sections. Periclase particles are similar to free lime and can be differentiated from free lime by relief.
Alkali Sulphate Size: The size of alkali sulphate particles can be determined by measuring the diameter of very fine crystalline particles visible in polished sections. Alkali sulphate particles are very sensitive to reaction with moisture and occur preferably in the edges of the interstitial mass.
Conclusion:
The use of clinker microscopy in determining clinker properties is crucial for improving cement strength. By analyzing the clinker microstructure, the process conditions and clinker quality can be assessed, leading to the optimization of the clinker manufacturing process and the prediction of clinker quality.
Note-All Images source: Microscopical Examination and Interpretation of Portland Cement and Clinker , second edition by Donald H. Campbell, Ph.D.
Transform your cement production today! Contact DataGenX for a comprehensive analysis of your microscopical data and unlock the full potential of your clinker quality. Embrace innovation, enhance sustainability, and drive cost-effective practices in your cement production.
Frequently Asked Questions:
1. What is clinker microscopy?
Clinker microscopy is a valuable tool used to assess the microstructure of clinker samples, which are essential components in the production of cement. It involves the qualitative and quantitative analysis of the clinker phases and their characteristics, providing insights into the process conditions and clinker quality.
2. Which are the typical clinker phases?
The typical clinker phases include alite, belite, aluminate, ferrite, free lime, periclase, and alkali sulfates. These phases have distinct properties and play a crucial role in the quality and performance of the final cement product.
3. What conditions are analyzed under qualitative interpretations of clinker microstructure?
Under qualitative interpretations of clinker microstructure, various conditions are analyzed, including raw meal preparation, burning conditions, cooling conditions, and the influence of fuels. These conditions are assessed to understand their impact on the clinker microstructure and the resulting clinker quality.
4. What conditions are analyzed under quantitative assessment of clinker phases?
The quantitative assessment of clinker phases involves the quantification of different clinker phases, determination of the size of alite, belite, aluminate, ferrite, free lime, periclase, and alkali sulfates, and the application of supplementary methods such as chemical analysis, X-ray diffraction, and scanning electron microscopy. These analyses provide detailed insights into the properties and characteristics of the clinker phases, aiding in the optimization of the clinker manufacturing process and the prediction of clinker quality.
